eStories: Logbuch zum Einsatz digitaler Medien in der Lehre
VenioVideo:Disco - HessenHub-Förderpreis für Lehr-/Lernvideos an der JLU
Im Rahmen des seit 2022 jährlich ausgeschriebenen Förderpreises für Lehr-/Lernvideos wurden qualitativ hochwertige Lehr-/Lernvideos ausgezeichnet, die von oder in Kooperation mit Lehrverantwortlichen der JLU erstellt worden sind und im Rahmen von Lehr- oder Weiterbildungsangeboten an der JLU genutzt werden.
Über die Ausschreibung
Was sind Lernvideos?
Unter Lehr-/Lernvideos verstehen wir audiovisuelle Lehr-/Lernmaterialien, in denen die Lehr-/Lerninhalte didaktisch aufbereitet angeboten werden. Es handelt sich um ein asynchrones Format, das überwiegend zeit- und ortsunabhängig in Selbstlernphasen zum Einsatz kommt. Lehr-/Lernvideos sind didaktisch in ein übergreifendes Lehr-/Lernkonzept eingebettet und können in Form von u. a. Moderationen, Screencasts, interaktiven Videos, mit Legetechnik oder Animationen umgesetzt werden.
Bewertungskriterien
Was verstehen wir unter qualitativ hochwertig?
Der Fokus der Bewertung der eingereichten Lehr-/Lernvideos liegt auf der didaktischen Konzeption des Lehr-/Lernvideos sowie der didaktischen Einbettung des Videos in den Veranstaltungskontext im Sinne des Constructive Alignment. Die technische Umsetzung spielt bei der Bewertung eine untergeordnete Rolle.
Folgende Kriterien liegen der Bewertung zugrunde:
Speziell in Bezug auf das Videomaterial:
- didaktische Aufgliederung und Aufarbeitung der Lehr-/Lerninhalte für das Videomaterial
- kreative Umsetzung des Lehr-/Lerninhalts in Videoform
- Balance zwischen inhaltlichem Anspruch und Unterhaltungsaspekten des Videos
In Bezug auf das didaktische Gesamtkonzept:
- Abstimmung von intendierten Lernzielen, Prüfungsleistung und Lehr-/Lernmethoden (hierunter fallen u. a. die Lehr-/Lernvideos) im Sinne des Constructive Alignment
- Kombination der Lehr-/Lernvideos mit anderen Lehr-/Lernmethoden bzw.-materialien
Diese »Checkliste« bietet einen Überblick über die Bewerbungsvoraussetzungen und gibt Ihnen einen Einblick in unsere Bewertungskriterien.
Bewerbungsvoraussetzungen und Preise
Voraussetzung für die Berücksichtigung der Lehr-/Lernvideos für das Bewertungsverfahren ist, dass diese bisher keine Förderung durch HessenHub erfahren haben. Dies schließt Förderungen in der Konzeptions- und Umsetzungsphase sowie eine Förderung durch HessenHub-Projekte anderer Hochschulen mit ein. Es können Einzelvideos oder Videoserien eingereicht werden.
Die eingereichten Videos müssen in Kooperation mit Lehrverantwortlichen der JLU erstellt worden sein und im Rahmen von Lehr- oder Weiterbildungsangeboten an der JLU genutzt werden. Neben den Lehrverantwortlichen sind auch Studierende berechtigt, Lehr-/Lernvideos für den Preis vorzuschlagen. Mit Lehrverantwortlichen sind alle Personen gemeint, die zum Zeitpunkt der Antragstellung an der JLU für die Ausgestaltung/Durchführung von Lehr- und/oder Weiterbildungsangeboten verantwortlich sind. Dies schließt extracurriculare Angebote, Tutorien und Workshopangebote von wissenschaftlichen Zentren sowie Serviceeinrichtungen mit ein.
Insgesamt werden pro Ausschreibung jeweils drei Preise vergeben. Der erste Preis ist mit 3.000 Euro, der zweite Preis mit 1.000 Euro und der dritte Preis mit 500 Euro dotiert. Das Preisgeld ist einer zweckgebundenen Nutzung im Sinn der weiteren Lehr-/Lernvideoproduktion vorbehalten. So kann es beispielsweise genutzt werden, um bereits bestehende Lehr-/Lernvideos zu optimieren, neue Lehr-/Lernvideos zu produzieren oder technische Ausstattung bzw. Lizenzen für Programme zur Videobearbeitung zu erwerben.
Preisträgerinnen und Preisträger 2022
1. Preis: Ästhetik in der Kindheit
Verena Franke
Institut für Kunstpädagogik | Fachbereich für Sozial- und Kulturwissenschaften
Die Lernvideos in Legetechnik der Studierenden Frieda Rau und Lara Schliebs sind im Rahmen von Verena Frankes fachdidaktischem Proseminar im WiSe 2021/22 am Institut für Kunstpädagogik, das für Bachelorstudierende der Kindheitspädagogik ab dem 2. Semester angeboten wird, im Sinn des didaktischen Doppeldeckers als Teil der Prüfungsleistung entstanden. Dadurch wird neben der Vermittlung von fachspezifischen Inhalten auch die Medienkompetenz der Studierenden gestärkt. Die Videos wurden jeweils zu Beginn eines Veranstaltungstermins mit entsprechendem Themenschwerpunkt präsentiert und dienten im Anschluss u. a. als Grundlage für theoretische Diskussionen, praktische Experimente und eine abschließende Reflexion zur Erörterung der Einsatzmöglichkeiten der theoretischen und empirischen Inhalte in der Praxis.

Begründung der Jury-Entscheidung
Die Videos der beiden Studierenden sind nicht nur visuell sehr ansprechend gestaltet und technisch sehr gut umgesetzt, sondern überzeugen auch in didaktischer Hinsicht. Im Video „Creanet Studie: Kreativitätsförderung in Vorschulsettings“ von Frieda Rau beispielsweise leiten zunächst die Frage „Welche Bedingungen braucht es, um Kreativität gut entwickeln zu können?“, weiterhin eine Gliederung sowie die wiederkehrenden Bezüge zur beruflichen Praxis der Erzieherin Martha durch das Video. Die zentralen Ergebnisse werden am Ende des Videos entlang einer Checkliste noch einmal zusammengefasst. Dadurch entsteht eine klar nachvollziehbare Struktur, die für den Lernprozess förderlich sein kann. Ebenso positiv hervorzuheben ist der Call to Action, der im Verlauf des Videos zum Anhalten und zur Reflexion des eigenen Vorwissens auffordert. Der Lehr-/Lerninhalt wird für das Medium Video sinnvoll reduziert und didaktisch aufbereitet; auditive und visuelle Inhaltsvermittlung werden im Sinn der Cognitive Load Theory gelungen kombiniert. Auch das Video von Lara Schliebs überzeugt u. a. mit einer ansprechenden visuellen Gestaltung, einer kreativen Einbindung verschiedener Materialien (z. B. anderer Videosequenzen, Audiosequenzen) und einer sinnvollen Reduktion und gelungenen didaktischen Aufbereitung des Lehr-/Lerninhalts für das Medium. Insgesamt handelt es sich bei beiden Videos um herausragende Leistungen mit Modellcharakter, die wir gerne mit dem 1. Preis auszeichnen.
2. Preis: Auf dem Ufer der Kultur: Wie Essen sozial differenziert und integriert
Prof. Dr. Stefan Wahlen und Judith Schryro
Institut für Verbraucherforschung, Kommunikation und Ernährungssoziologie | Fachbereich für Agrarwissenschaften, Ökotrophologie und Umweltmanagement
Die Lehr-/Lernvideos der Reihe „Auf dem Ufer der Kultur: Wie Essen sozial differenziert und integriert“ sind von Stefan Wahlen und Judith Schryro für eine Lehrveranstaltung produziert worden, die sich an Erstsemester des Bachelorstudiengangs Ökotrophologie und Studierende des Lehramtsstudiengangs B.Sc. Berufliche und betriebliche Bildung richtet und vormals als klassische Vorlesung mit Übung konzipiert war. Die Veranstaltung wurde 2020 für die digitale Lehre zu einem aus unserer Sicht sehr gut durchdachten Konzept umgestellt, in dem die Videos in einem ILIAS-Kurs didaktisch sinnvoll durch weitere Materialien und Aktivitäten gerahmt werden.

Begründung der Jury-Entscheidung:
Bei den Videos selbst ist besonders die gezielte Aufarbeitung der Lehr-/Lerninhalte für das Medium Video positiv hervorzuheben. Die Inhalte des Buches „Soziologie des Essens“ werden in den Videos visuell gelungen aufgearbeitet und vertieft. Die jeweilige Videostruktur orientiert sich dabei an verschiedenen Inhalten aus dem Buch. Zum Teil werden zusätzliche Strukturierungen über visuelle Gestaltungsmittel unter Verwendung einfachster Mittel, wie Prezi-Videos, erreicht. An relevanten Stellen im Lernprozess geben die Videos gezielt fachliche Einführungen, Inputs und Beispiele zu den Buchkapiteln und lassen damit genügend Zeit für die eigene Vertiefung der Inhalte. Im ILIAS-Kurs werden die Studierenden wöchentlich zu abwechslungsreichen vertiefenden Lernhandlungen aufgefordert, die entlang eingangs klar formulierter Lernziele im Sinne des Constructive Alignments auf die abschließende Prüfungsleistung in Form eines E-Portfolios vorbereiten. Zur Unterstützung des Lern- und Reflexionsprozesses werden außerdem regelmäßige Sprechstunden angeboten und die Studierenden zu Peer-Feedback aufgefordert. Insgesamt ist die technische Qualität der Videos unterschiedlich und verbesserungsfähig, sie zeigen aber auf – und das wiederum möchten wir positiv hervorheben –, was mit einfachen zur Verfügung stehenden Mitteln (Smartphone, Webcam, Prezi) bereits möglich ist. Überzeugt hat uns insbesondere auch die didaktische Einbettung der Videos in ein gut durchdachtes Gesamtkonzept, das deutlich macht, warum Videos als Lehr-/Lerninhalt nicht isoliert stehen sollten. Wir verleihen dieser Einreichung daher den 2. Preis.
3. Preis: Maßnahmen der kardiopulmonalen Reanimation nach den Leitlinien 2021 (ERC)
Lehre-Team
der Klinik für Anästhesiologie, operative Intensivmedizin und Schmerztherapie | Universitätsklinikum Gießen, UKGM
In den Instruktionsvideos des Lehre-Teams der Klinik für Anästhesiologie, operative Intensivmedizin und Schmerztherapie werden verschiedene notfallmedizinische Interventionen mit Schauspielerinnen und Schauspielern nachgestellt und durch einen Sprecher kommentiert. Die Videos werden im ersten klinischen Semester des Studiengangs Humanmedizin als Einführung in das Praktikum Notfallmedizin I verwendet und dienen als Instruktion für die anschließenden Praxisübungen.

Begründung der Jury-Entscheidung:
Bereits Studierende der Medizin stehen moralisch und juristisch in der Pflicht, die Kardiopulmonale Reanimation (CPR) zu beherrschen. Da unter Pandemie-Bedingungen die Übung vor Ort in Gruppen nicht möglich war, wurden als Ersatz Lehr-/Lernvideos erstellt. Diese sollen den Studierenden während ihrer gesamten studentischen und ärztlichen Laufbahn zur Verfügung stehen. Die Videos vermitteln wichtige Kernkompetenzen wie das Erkennen und Einschätzen von Notfallsituationen und erklären die komplexen Arbeitsabläufe verschiedener notfallmedizinischer Interventionen. Dabei bauen die einzelnen Videos der Reihe aufeinander auf. Die Standardvorgehensweise (Standard Operating Procedure, SOP) wird in den Videos jeweils durch einen Sprecher erläutert und durch ein seitlich dauerhaft eingeblendetes Flowchart dargestellt. Das macht es den Studierenden möglich, Abläufe durch Anhalten des Videos noch einmal in Ruhe durchgehen und nachvollziehen zu können. Wichtige Abläufe werden außerdem jeweils situationsabhängig wiederholt und abgewandelt. Die Gestaltung der Videos kann daher als zielführend, dem Inhalt angemessen und lernförderlich bezeichnet werden; die technische Umsetzung ist ausgezeichnet. Insgesamt stellen die Videos eine gelungene Ergänzung und Narration konkreter lebensnaher – und auch gesellschaftlich sehr wichtiger – Fallsimulationen dar, die wir gerne mit dem 3. Preis auszeichnen.
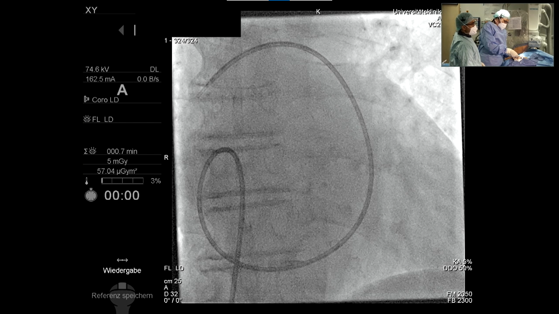
Sonderpreis "Innovation und hoher Digitalisierungsgrad": Kardio.education live in Verbindung mit Kardio.education life on demand
Prof. Dr. Holger Nef, Prof. Dr. Oliver Dörr und Felix Hofmann
Medizinische Klinik I, Kardiologie und Angiologie | Universitätsklinikum Gießen, UKGM
Die Aufzeichnungen von Holger Nef, Oliver Dörr und Felix Hofmann zeigen real durchgeführte klinische Interventionen per Live-Stream aus dem Herzkatheterlabor. Sie werden im Rahmen des seit Sommersemester 2021 etablierten Lehrformats „Kardio.education live“ für Studierende des 5., 7. und 10. Semesters des Studiengangs Humanmedizin produziert und angeboten. Die entstandenen Videos werden in das Blockpraktikum der kommenden Wochen eingebunden und folgen jeweils aufbauend auf die entsprechende Hauptvorlesung zu den Krankheitsbildern.

Begründung der Jury-Entscheidung:
Der untersuchende Arzt moderiert die Aufzeichnung, indem er sein Vorgehen beschreibt, eingeblendete Materialien (Angiographien, Vitalparameter, intrakoronare Bildgebung) bespricht und Fragen in den Chat stellt. Ein Interview-Partner vor Ort stellt Fragen an den Arzt und gibt auch die Fragen der Studierenden aus dem Chat sowie deren Antworten auf die Fragen des Arztes an diesen weiter – und damit auch an die späteren Zuschauerinnen und Zuschauer der Aufzeichnung. Das Vorgehen wird aus zwei verschiedenen Kameraperspektiven gezeigt. Die erste Kamera ist auf den untersuchenden Arzt und weiteres medizinisches Personal gerichtet, die neben dem Patienten stehen. Die zweite Kamera fokussiert den Patienten im Detail, etwa seinen Arm, und die Hände des Arztes, um z. B. erklären zu können, wie ein Zugang gelegt wurde. Direkt im Anschluss werden Live-Bilder, z. B. aus einer Angiographie, eingeblendet, die den aktuellen Vorgang innerhalb des Körpers zeigen. Auch bei Nachfragen über den Chat oder durch den Interview-Partner wird spontan die Kameraperspektive gewechselt oder die entsprechenden Bilder werden nochmals eingeblendet, um Fragen am Beispiel (er-)klären zu können. Interaktion und multiperspektivische Verbildlichung sind für dieses Format zentral, es wird am Beispiel gearbeitet, weshalb von einem großen Interesse seitens der Studierenden ausgegangen werden kann.
Bei den Aufzeichnungen handelt es sich nicht um Lehr-/Lernvideos im engeren Sinne, wie sie in unserer Ausschreibung definiert wurden. Unsere Kriterien zur Bewertung von Lehr-/Lernvideos können daher kaum Anwendung finden. Da es sich für uns hierbei dennoch um ein ausgezeichnetes Format mit hohem Digitalisierungsgrad und eine technisch beeindruckende und herausragend innovative Leistung handelt, verleihen wir dem Projekt „Kardio.education live in Verbindung mit Kardio.education life on demand“ den Sonderpreis für Innovation und hohen Digitalisierungsgrad.
HessenHub
HessenHub ist ein aktuell aus 13 hessischen Hochschulen bestehendes Netzwerkprojekt, das seit 2019 vom Hessischen Ministerium für Wissenschaft und Kunst und dem Digitalpakt gefördert wird.
Mehr Informationen zum Projekt und alle Daten für die nächste Ausschreibung des Förderpreises erhalten Sie auf der Projektseite: »HessenHub«